Facettes Dentaires
Un sourire éclatant avec nos facettes naturelles
Dans notre clinique, chaque patient fait l’objet d’un soin particulier. Nous mettons notre expertise à votre service, pour vous redonner un beau sourire lumineux.
Grâce au Docteur Alj, vous pouvez arborer le sourire parfait dont vous avez toujours rêvé. Débarrassez-vous des taches dentaires, des espaces ou des dents qui se chevauchent, nous pouvons vous aider à corriger tout cela.
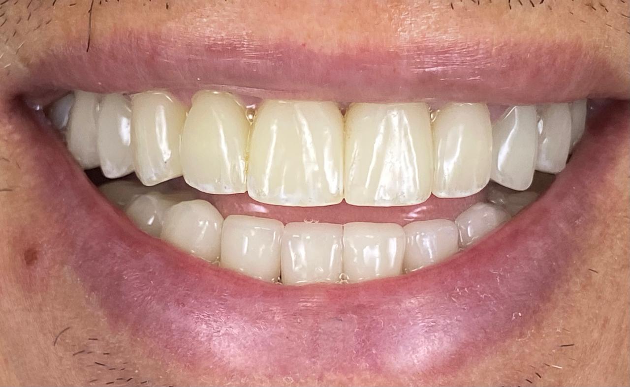
Retrouvez le sourire harmonieux que vous méritez grâce à la pose de facettes en céramique, indiscernables et parfaitement adaptées à la morphologie de votre visage.
 
															 
															FACETTES DENTAIRES : QU’EST-CE QUE C’EST ?
Une facette dentaire est une fine coque de céramique (entre 0.3 et 0.6 mm d’épaisseur) appliquée et collée sur la face avant d’une dent. Sa texture et son aspect sont comparables à l’émail dentaire.
Sa teinte est ajustable pour garantir l’harmonie et l’homogénéité du sourire.
La pose de facettes est un traitement esthétique dentaire qui permet de vous redonner confiance en vous et en votre sourire, en seulement 3 séances.
 
															Quels sont les avantages des facettes dentaires ?
- Modifier la teinte des dents de devants
- Harmoniser la couleur des dents et effacer une ou plusieurs taches.
- Modifier la teinte des dents de devants
- Rendre votre sourire magnifique
- Aligner ses dents de devant.
- Corriger les espaces inter dentaires, cassures, fêlures, etc.
- Redonner leur éclat aux dents fragilisées et ternes dû au tabagisme ou à la consommation excessive de thé, soda, médicaments, etc.
Y a t'il des contre-indications à la pose de facettes ?
Selon l’état initial de la dentition du patient, selon sa santé bucco-dentaire, tout n’est pas possible. Voici les cas dans lesquels les facettes ne sont pas indiquées :
- Occlusion défavorable.
- Problème d’hygiène bucco-dentaire
- Délabrement bucco-dentaire trop important.
La pose ne doit être envisagée que si la santé bucco-dentaire du patient le permet. La base de la dentition doit donc être saine. Cela garantit la stabilité et la longévité des facettes en céramique.
 
															Des résultats naturels et personnalisés
Galerie Photos


















